Dr. Dietmar Sonnleitner - Facharzt für Zahn-, Mund- und Kieferheilkunde, Zahnimplantate, Zahnfleischbehandlungen
Schrannengasse 10e, 5020 Salzburg, Österreich
Tel +43 (0)662 879680-0 / Fax +43 (0)662 870921
Mo, Di, Mi, Do 8:00-15:00 Fr 8:00-12:00
StartseiteZahnärztliche LeistungenGesamtsanierung

Gesamtsanierung

Bei einer Gesamtsanierung ist es notwendig, auch andere als Behandlungen nur mit Zahnimplantaten anzubieten.

Oft müssen Zähne mit Inlays, Einzelkronen, zahngetragenen Brücken, Wurzelbehandlungen oder Kunststofffüllungen saniert und das Zahnfleisch behandelt werden.

Alle Eingriffe werden natürlich in der Praxis Dr. Sonnleitner im Rahmen von Einzelbehandlungen und Gesamtsanierung durchgeführt, auch wenn dabei keine Implantate eingebaut werden müssen.

Bilder: Gesamtsanierung

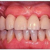
  • Provisorische Versorgung des Oberkiefers nach Extraktion in einem Seitenzahnbereich. Deutlich ist der Weichgewebs-Effekt zu den Zähnen im Seitenzahnbereich zu erkennen.
  • Provisorische Versorgung des Oberkiefers nach Zahnfleisch-Transplantation. Die Defekte sind verschwunden und ausgeglichen.
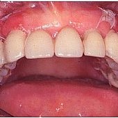
  • Geschliffene Zähne in Kombination mit Implantaten.
  • Die fertige Versorgung - mit stark individualisierten Zähnen kann man ein möglichst natürliches Ergebnis erzielen.
  • Eingebrachte Implantate mit Durchtrittspfosten zur Aufnahme einer festsitzenden Keramikbrücke.
  • Einprobe des Zirkonoxyd-Gerüstes zur Kontrolle der Passgenauigkeit.
  • Fertig gefrästes und gebackenes Zirkonoxyd-Gerüst zum Aufbrennen der Keramik.
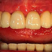
  • Fertige Vollkeramikbrücke.
  • Detailansicht der fertigen Vollkeramikbrücke.
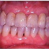
  • Die eingegliederte Vollkeramikbrücke.
  • Röntgendarstellung der implantatgetragenen Vollkeramikbrücke im Oberkiefer und klassische Versorgung des zahnlosen Unterkiefers nach der Branemark-Methode.


Mini-Anfahrtsplan

Schrannengasse 10e
5020 Salzburg

Tel +43 (0)662 879680-0

weiter

Erste Beratung sowie Heil- und Kostenpläne sind generell kostenlos!

Mehr

StartseiteZahnärztliche LeistungenGesamtsanierung