Dr. Dietmar Sonnleitner - Facharzt für Zahn-, Mund- und Kieferheilkunde, Zahnimplantate, Zahnfleischbehandlungen
Schrannengasse 10e, 5020 Salzburg, Österreich
Tel +43 (0)662 879680-0 / Fax +43 (0)662 870921
Mo, Di, Mi, Do 8:00-15:00 Fr 8:00-12:00
StartseiteZahnimplantateWann Zahnimplantate?Zahnimplantate bei Zahnlosigkeit

Zahnimplantate bei Zahnlosigkeit

Fest sitzende nicht herausnehmenbare Implantatbrücken im zahnlosen Ober- und Unterkiefer bringen Lebenslust und Selbstsicherheit zurück.

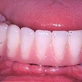
Oberkiefer

Die Schwierigkeit der Oberkieferbehandlungen entsteht  meistens  durch zu geringes Knochenangebot, vor allem im seitlichen Bereich. Es muss bei dieser Behandlung nicht nur die Kaufunktion, sondern auch die Sprachfunktion und Ästhetik wiederhergestellt sein. Auch müssen diese Brücken, die nicht abnehmenbar sind, gut gepflegt werden können.

Bei zu geringem Knochenangebot kann ein Knochenaufbau vorzugsweise in der Kieferhöhle vorgenommen werden. Meistens wird im Oberkiefer nach der Einheilung der Zahnimplantate ein Provisorium angefertigt um die Funktion und Ästhetik noch perfekt herauszuarbeiten. Das Ergebnis der provisorischen, festsitzenden Brücke wird dann auf die definitive Brücke übertragen.

Bilder: Zahnimplantate bei Zahnlosigkeit im Oberkiefer

  • Zahnloser Oberkiefer mit ausreichend Knochen Weichgewebe.
  • Implantate eingesetzt mit Durchtrittspfosten zur Aufnahme der Brücke.
  • Röntgenaufnahme eingesetzte Implantate mit aufgebrachten Durchtrittspfosten.
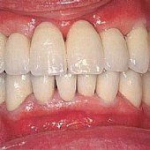
  • Die fertige festsitzende Versorgung mit Keramikbrücke.
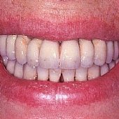
  • Die Lachinie der fertigen festsitzenden Versorgung mit Keramikbrücke.
  • Darstellung der Fensterung der seitlichen Kieferhöhlenwand als Zugang zum Aufbau des Kieferknochens.
  • Frontalansicht eines Kieferhöhlenaufbaus (Sinuslift) mit Knochenersatzgewebe.
  • Oberkieferversorgung mit Implantaten nach Sinuslift.
  • Die fertige Versorgung mit festsitzender Keramikbrücke. Die Zähne sind der Fuß der Patienten weiß und wenig individualisiert.
  • Die Lachlinie der fertigen festsitzenden Versorgung.

 

Unterkiefer

Im zahnlosen Unterkiefer werden aufgrund der festen Knochenstruktur 5 Implantate zwischen der Austrittsöffnung des Nervus mandibularis im Bereich der 1. und 2. Backenszähne eingebracht.

Sollten zu entfernende Zähne in diesem Bereich vorhanden sein, so werden diese extrahiert und in der gleichen Sitzung Implantate eingebracht.

Dann werden Durchtrittspfosten, welche die Verbindung zwischen Implantatkopf und Mundhöhle darstellen, aufgeschraubt, das Zahnfleisch um die Pfosten vernäht und anschließend ein Abdruck genommen.

Danach wird ein vom Zahntechniker angefertigtes Kunststoffprovisorium auf die Implantate auf gesteckt. 2-3 Stunden später wird eine Ästhetik- und Biss-Probe der vorgesehenen Brücke eingegliedert.

Am nächsten Tag wird ein Kunststoffprovisorium fest mit den Implantaten verschraubt und nach einer Dauer von ca. 10-12 Tagen werden die Nähte entfernt und die definitive Brücke eingeschraubt.

Als Ergebnis dieser Behandlung kann der Patient wieder vollwertig alles essen, es kommt zu keinen Druckstellen mehr, es schwimmt kein Zahnersatz mehr im Mund herum und bröselige körnige Nahrung stellt keine Unbill mehr beim Essen dar.

Bilder: Zahnimplantate bei Zahnlosigkeit im Unterkiefer

  • Röntgenaufnahme des zahnlosen Unterkiefers.
  • Darstellung des Kieferkammes eines zahnlosen Unterkiefers.
  • Versorgung mit 5 Implantaten zur Aufnahme der festsitzenden Unterkieferbrücke.
  • Die fertige fest sitzende Brücke im Unterkiefer.
  • Röntgendarstellung einer fest sitzenden Unterkieferbrücke mit 5 Implantaten.

 

Einzelimplantate im Bereich der Eckzähne

Aus Kostengründen kann man im zahnlosen Unterkiefer auch 2 Einzelimplantate im Bereich der Eckzähne einbringen. Diese heilen 2 Monate ein, dann werden Verankerungselemente in Form von Druckknöpfen auf geschraubt. Auf diese Druckknöpfe kann eine bestehende alte Prothese eingeklickt werden. Somit wird der Halt wesentlich verbessert, allerdings ruht diese Prothese nach wie vor auf dem Zahnfleisch.

Jede andere Art der abnehmbaren prothetischen Versorgung im Ober- und Unterkiefer, wie z.B. mit Stegen, wird in der Praxis Dr. Sonnleitner aus langjähriger Erfahrung und Expertise nicht durchgeführt.

Bilder: Einzelimplantate im Bereich der Eckzähne

  • Röntgenaufnahme des zahnlosen Unterkiefers.
  • Darstellung des Kieferkammes eines zahnlosen Unterkiefers.
  • Einbau von 2 Implantaten mit Druckknöpfen zur  Verbesserung des Halte seiner Totalprothese.
  • Eingebaute Halteelemente in eine bestehende alte Prothese.
  • Eingegliederte Totalprothese.

 

Die Lachinie der fertigen festsitzenden Versorgung mit Keramikbrücke.
StartseiteZahnimplantateWann Zahnimplantate?Zahnimplantate bei Zahnlosigkeit